Ecocardiograma

Ecocardiograma cardiólogo en Guayaquil Clinica KennedyAplicaciones clínicas:

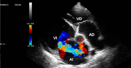
Estudio de imagen no invasivo que mediante el uso de ultrasonido permite representar la estructura del corazón y analizar el flujo de la sangre a través de sus cavidades.

  • Determinación cualicuantitativa de las funciones de contracción (sístole) y relajación (diástole) cardíacas.
  • Estudio de defectos congénitos o adquiridos de las diversas estructuras del corazón.
  • Análisis de la anatomía y funcionamiento de las válvulas cardíacas.
  • Estudio de afectaciones del pericardio (capa que recubre al corazón).
  • Investigación de problemas de la aorta torácica.